
Beauty Med Consult
E-Тwo





Апликатори Рачки
Sublime
Sublative RF
Sublime. Ги елиминира брчките




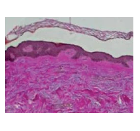
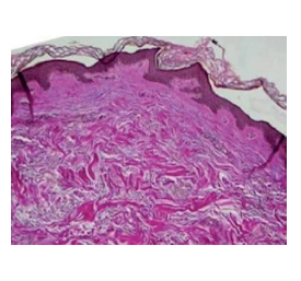
Клинички резултати
Фотографиите не се обработуваат.
Резултатите зависат од индивидуалните карактеристики на секој пациент.
Резултатите може да се разликуваат.

Најчесто поставувани прашања
Како и за колку време ќе ја вратам инвестицијата?
Дали нудите обука за работа со уредот?
Дали има гаранција и сервис?
Има ли можност за плаќање на рати?
Доколку имате прашања: office@beautymed.mk
диоден ласер за депилација





